病史简介
患者,41岁,中年女性。
主诉:
发现子宫腺肌症半年余,LNG-IUS脱落8天。
现病史:
患者诉2024-02-15月经来潮后淋漓不尽,持续2周,外院超声提示子宫腺肌症未排,未予以处理,后因症状反复发作,查TCT+HPV未见明显异常,2024-05-20于外院开始GnRHa类药物治疗3针,2024-08-12宫腔放置LNG-IUS,2024-08-24出现阴道流血,较平时月经量增多1/3,无明显腰酸、下腹痛,2024-09-03外院复查妇科超声:子宫呈后位,长径72mm,前后径58mm,横径69mm,后壁肌层回声不均,见细小的增强回声区和低回声区交织混杂,宫腔内见25mm*9mm混合回声团,其边缘及内部未见明显血流信号,节育器上极距宫底65mm。双附件区未见占位病变,子宫直肠窝内未见液性暗区,CDFI未见明显血流信号。外院予止血针及中成药片对症治疗(具体不详),血量有所减少,2024-09-04患者自诉见节育器脱落出体外。现因子宫腺肌症需重新放置LNG-IUS治疗,门诊拟“子宫腺肌症,LNG-IUS脱落”收住入院。患者未诉特殊不适,无下腹痛及阴道出血,无尿急,无便秘,睡眠饮食可,三便正常,体重无明显改变。
妇科查体:
外阴已婚已产式,阴道少量白色分泌物,宫颈肥大陈旧性裂伤,子宫增大如孕8周大小,边界清,活动可,未扪及骶韧带增厚及触痛结节。
辅助检查:
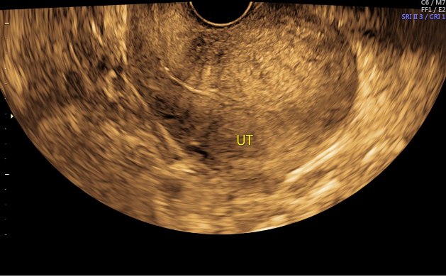
2024-9-12经阴道妇科彩超提示:子宫呈后位,长径69mm,前后径55mm,横径65mm,后壁肌层回声不均,见细小的增强回声区和低回声区交织混杂,内膜厚3mm,光整,内膜线前移,双附件区未见占位病变,子宫直肠窝内未见液性暗区,CDFI未见明显血流信号。

手术方式及日期:
取环时免宫腔镜的改良LNG-IUS缝合固定术,2024-9-13。
术后随访:
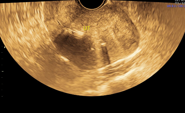
患者未诉术后点滴出血淋漓不尽、下腹痛等不适,2024-10-07月经来潮,6天干净,2024-10-15经阴道妇科彩超提示:子宫呈后位,子宫切面内径72mm*54mm*65mm,形态失常,体积增大,宫内肌层回声不均,见细小的增强回声区和低回声区交织混杂,内膜线前移,内膜厚4mm,光整,节育器距宫底19mm。双附件区未见占位病变,子宫直肠窝内未见液性暗区,CDFI未见明显血流信号。现术后1年余,月经规则,2-3/28-30天,量少,无痛经。

术式亮点
目前主流LNG-IUS缝合固定术通过冷刀系统宫腔镜进行,该系统自带缝合/剪线器械和通道,还需要使用推结器,费用较高,许多医疗单位尤其基层医院并未配备上述器械。国内也有学者探索使用常规的宫腔检查镜和腹腔镜用持针器/剪刀进行手术,费用降低但仍然需要使用推结器,需反复多次进出宫腔,增加手术难度和时间。
本术式的改良则同时了解决手术器械要求高和常规器械手术难度较大的问题,其关键在于引入了运动医学科的活结理念(SMC结),将打结过程进出宫腔的次数缩减为仅1次,减少了宫腔内操作的时间。另一方面,缝合固定后则需要使用宫腔镜直视下用剪刀剪断缝线方可将LNG-IUS取出,与普通LNG-IUS取出相比增加患者的手术风险及经济负担。本术式利用SMC结牵引环线时结可松动的特点,通过不可吸收线将LNG-IUS直接捆绑在该线上,体外牵拉LNG-IUS尾丝时即可达到松开SMC结目的,从而实现直接取出LNG-IUS,避免了宫腔镜剪除缝线的手术风险和医疗费用。综上所述,改良术式在常规器械基础上即可完成,亦降低了手术难度和医疗费用,更利于在不同级别的医院尤其是基层推广应用。

SMC结未拉紧时

SMC结已拉紧时
术者简介

陈咏宁
南方医科大学南方医院妇产科主治医师
擅长:(1)妇产科常见病如子宫肌瘤、卵巢囊肿、子宫内膜息肉、月经紊乱、胚胎停育等诊疗;(2)对子宫内膜异位症(如卵巢巧克力囊肿、子宫腺肌病等)、HPV感染、宫颈病变的个体化治疗、长期管理及复发预防有独到见解;(3)手术技能熟,熟练掌握妇科常见微创(单孔或多孔腹腔镜、宫腔镜)及开腹手术为患者实施个体化手术方案。(4)专注妇科恶性肿瘤规范化手术、放化疗、靶向等综合治疗。致力于女性健康科普,系中国科普作家协会会员、中国抗癌协会宫颈癌/卵巢癌/子宫体肿瘤/肿瘤防治科普专业委员会会员等。多个科普作品曾获省级一二等奖,被中华医学会、中国医师协会、中华护理学会收录等成绩。
责编:清欢
审核:马野
